提醒成功
搜索
Mouse Monoclonal Antibody to TUBA8
| Description |
|---|
| This gene encodes a member of the alpha tubulin protein family. Alpha tubulins are one of two core protein families (alpha and beta tubulins) that heterodimerize and assemble to form microtubules. Mutations in this gene are associated with polymicrogyria and optic nerve hypoplasia. Alternate splicing results in multiple transcript variants. |
| References |
|---|
| 1. Am J Hum Genet. 2009 Nov;85(5):737-44. 2. Am J Hum Genet. 2009 Nov;85(5):628-42. |
| Specification | |
|---|---|
| Aliases | TUBAL2 |
| Entrez GeneID | 51807 |
| Swissprot | Q9NY65 |
| clone | 2D6 |
| WB Predicted band size | 50kDa |
| Host/Isotype | Mouse IgG2b |
| Antibody Type | Primary antibody |
| Storage | Store at 4°C short term. Aliquot and store at -20°C long term. Avoid freeze/thaw cycles. |
| Species Reactivity | Human,Rat |
| Immunogen | Purified recombinant fragment of human TUBA8 expressed in E. Coli. |
| Formulation | Ascitic fluid containing 0.03% sodium azide. |
| Application | |
|---|---|
| WB | 1/500 - 1/2000 |
| IHC | 1/200 - 1/1000 |
| ICC | 1/200 - 1/1000 |
| FCM | 1/200 - 1/400 |
| ELISA | 1/10000 |
Product Image
- Black line: Control Antigen (100 ng); Purple line: Antigen(10ng); Blue line: Antigen (50 ng); Red line: Antigen (100 ng);
- Western blot analysis using TUBA8 mouse mAb against rat heart (1) tissue lysate.
- Immunofluorescence analysis of Hela cells using TUBA8 mouse mAb (green). Blue: DRAQ5 fluorescent DNA dye. Red: Actin filaments have been labeled with Alexa Fluor-555 phalloidin.
- Flow cytometric analysis of NIH/3T3 cells using TUBA8 mouse mAb (green) and negative control (red).
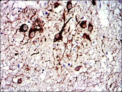
- Immunohistochemical analysis of paraffin-embedded human medulla oblongata tissues using TUBA8 mouse mAb with DAB staining.
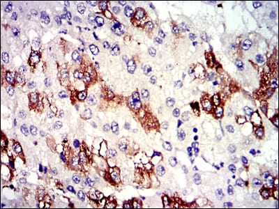
- Immunohistochemical analysis of paraffin-embedded human liver cancer tissues using TUBA8 mouse mAb with DAB staining.
For Reseach Only
Application Key:WB - Western Blot | IHC - Immunohistochemistry | ICC - Immunocytochemistry | FCM - Flow Cytometry | ELISA - Enzyme-linked Immunosorbent Assay | IP - Immunoprecipitation
#30301
相关产品

微信/QQ登录


首页
